
Fue capturado en la ciudad de McAllen Texas y trasladado al Estado de México, donde lo requiere un juez del Altiplano.

600 millones de dólares fue el costo de la refinería Deer Park por parte de Pemex en Houston, Texas

La refinería propiedad de Shell fue adquirida por Pemex en su totalidad, ya que el 50 por ciento de las acciones ya pertenecían a la paraestatal nayarita.

La aeronave tenía como destino McAllen, Texas, sin embargo al poco tiempo del despegue se perdió control con la unidad.

La declaración permite que fondos federales estén habilitados para el estado, incluyendo alojamientos temporales, reparación de viviendas y préstamos

Mediante un comunicado, demanda a productores de gas del estado que habían enviado a compradores fuera de Texas, desviar los suministros a los generadores locales

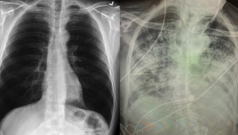
De acuerdo a una doctora de Texas, los pulmones después de sufrir la enfermedad de la COVID-19 pueden presentar un daño severo, incluso en casos asintómaticos, incluso peor que en casos de fumadores.

El Senador Republicano por Texas, Ted Cruz acusó al Gobierno de López Obrador de no cumplir con su promesa de juzgar al General Salvador Cienfuegos, así mismo pidió a las autoridades estadounidenses dejar en claro que atacar a la DEA es inaceptable.


El acuerdo entre Canelo Álvarez y Callum Smith estaría cerca de cerrarse. Todavía no hay fecha acordada, pero apunta al 19 de diciembre en Texas.
